线虫感染综合征伴发的细菌性脑膜炎,多由肠道革兰氏阴性微生物引起。任何引起急性细菌性脑膜炎的革兰氏阳性球菌是否为该患者的病原体?肠球菌及链球菌都存在由于肠道,都是伴线虫感染综合征患者发生脑膜炎的病因。
链球菌过去曾被认为是肠球菌属,因此很难仅依据革兰氏染色与肠球菌属微生物进行鉴别。线虫感染综合征的诊断需要通过检测大便内是否检出丝状或杆状幼虫。
这种方法对诊断慢性粪类圆线虫病不敏感,但是在感染期,肠道内有大量的幼虫,此时可以提高大便诊断敏感性。该患者还应完善HTLV-1(粪类圆线虫感染综合征的危险因素)的检测,且与HTLV-1感染与否与治疗失败相关。
总之,我相信类线虫感染综合征患者伴发的细菌性脑膜炎是由于肠道革兰氏阳性球菌链球菌或肠球菌所致。对于来自或访问过粪类圆线虫流行地区的患者在给予免疫抑制剂治疗前需要重视监测或经验性治疗。
Eric医师(病理科):Bebell医师在首次检查该患者后你的初步诊断是什么?
Bebell医师(感染科):我们首次检查完该患者后,首先考虑细菌性脑膜炎。我们了解成人细菌性脑膜炎最常见的病因是肺炎链球菌,但根据CSF脑脊液革兰氏染色结果,符合肠球菌的形态。短暂性或复发性皮疹、结合嗜酸性粒细胞增多及患者来自多米尼加共和国,我们考虑患者为慢性线虫感染。另外我们认为嗜酸性粒细胞增多可能是由于过敏性皮疹所致。
我们综合患者的临床特征,尤其是患者近期使用了糖皮质激素后,最考虑线虫感染综合征的诊断。我们怀疑患者脑脊液中的细菌是肠道病原体,是线虫感染综合征患者的并发症。
我们推荐完善HTLV-1和粪类圆线虫属感染的血清学检测及卵和寄生虫的粪便检查,并经验性给予万古霉素和头孢曲松治疗细菌性脑膜炎,并治疗包含了头孢曲松耐药的肺炎球菌。为便于万古霉素进入CSF,我们加用利福平治疗。起初我们推荐经验性的继续地塞米松治疗肺炎球菌脑膜炎,并给予伊维菌素治疗粪类圆线虫病。
临床诊断
粪类圆线虫感染综合征,并发细菌性脑膜炎
Read医生的诊断
粪类圆线虫感染综合征,并发细菌性脑膜炎(很可能由肠道内革兰氏阳性球菌:链球菌或肠球菌属所致)。
病例讨论
John医师:该患者需要完成两项相关的诊断检查。首先是腰穿收集脑脊液,在临床微生物实验室检查前看上去模糊不清。制备脑脊液图片,浓缩离心细胞,革兰氏染色。微观检查显示富含多形核白细胞及少许成对革兰氏阳性球菌。CSF常规培养链球菌亚种巴氏链球菌(原名牛2型链球菌),明确链球菌相关脑膜炎的诊断。体外实验表明对青霉素G和头孢曲松敏感。
第二个诊断检查,是在患者在患者入院后3天收集粪便检查卵及寄生虫,结果发现粪类圆线虫杆状幼虫(图2),需要通过解剖明确粪类圆线虫感染的诊断。大便样本明确有适度的人芽囊原虫和非致病原虫。
推测由于蠕虫生命周期期间肠黏膜的渗透导致肠道菌群共生,包括链球菌易位至血液,而引起菌血症,最终导致细菌性脑膜炎。最终的诊断与粪类圆线虫感染相关链球菌脑膜炎。

注:未染色的大便图片所见粪类圆线虫杆状幼虫。杆状幼虫(第一阶段)长约180-380μm,宽约14-20μm,他们都有短而尖的尾巴,球状食管,一个明显的生殖原基,短的颊面管(这张图片没有很好地显示出来)。
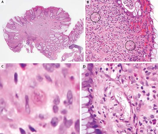
Nardi医师:脑脊液内的微生物是链球菌,完善结肠镜检查以明确恶性肿瘤。由盲肠息肉中获得活检标本,检查发现由于周围组织、淋巴细胞及丰富的嗜酸性粒细胞引起炎症渗入引起息肉状结肠粘膜固有层扩张(图3A)。在炎症细胞中,发现线虫幼虫的两个轮廓(图3B、C、D);幼虫的大小、位置与线虫一致。

图注:图A显示息肉结肠 黏膜伴(组织细胞、淋巴细胞、嗜酸性粒细胞组成)的固有层炎症浸润。图B显示线虫幼虫的两个剖面,高倍镜下,图C显示幼虫,图D显示幼虫纵剖面。
版权声明:除注明外均收集于互联网,如有侵权请及时联系我们处理!
国美回应央视315晚会曝光问题:将严查违规...
通讯:在这里,霍金的乐观幽默依旧留在人们心中--- 霍金享年76岁,伯吉斯的父亲2011...
色香味俱全是一道美味菜肴具备的特征,而作为食材或者说种子的黑皮花生却俨然已经具备了...
成人烫发已经成为一种潮流,但有部分妈妈竟然给小孩也跟一下潮流——烫发。现在大家都追...
发病没那么“突然”,脑溢血有6大征兆相信很多人都听说过脑溢血这种心脑血管疾病,它发病...
央视2016年315晚会今日举行,晚会曝光了网购刷单内幕。央视315记者在淘宝上开了一个卖面膜的...